Atlas image look different in template vs volume

Hi everyone,

I'm working on source localization from participants with individual MRIs and EEGs.

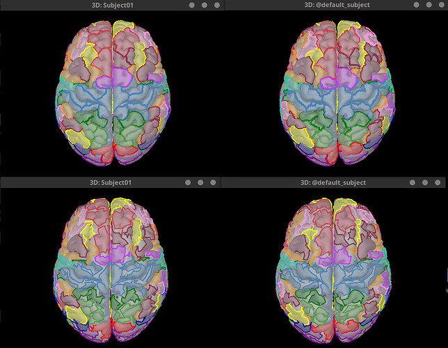
In looking at scout options, I'm visualizing the templated atlas's onto cortex. The templated ones look great (e.g., DKT_1, attached here). However, when I try to create from the subject's anatomy, the image looks less complete (DKT_2). Smoothing the image looks better, but I'm worried that I am doing something wrong. ANy thoughts? THank you!

Brian

DKT_2
DKT_1

The approach of creating surface scouts From subject anatomy is not is not recommended. This option is designed mostly for volume source models to create volume scouts.
https://neuroimage.usc.edu/brainstorm/Tutorials/TutVolSource

If the MRI segmentation method that was used did not return the cortical parcellations that you want, a way to get them would be to project them from the Default anatomy to the Subject anatomy.

  • Display the cortical surface from the Default anatomy
  • Make a copy of the Atlas you want to project with the option Atlas > New atlas > Copy current atlas
  • Select the copy of the desired Atlas and select all the Scouts
  • Use the menu Scout > Project to... > SubjectName > SurfaceName

Example of results:
DK atlas imported from MRI segmented with FreeSurfer

DK atlas from Default anatomy projected to subject anatomy

Hi Raymundo,

Thank you! That makes sense, although I'm confused by the alternative.

I'm trying to use brainnectome_leadDBS to identify scouts, but I can't see it within the 'scouts' tab unless I use the 'from subject anatomy' option.

Is there a way to get the non-templated (e.g., schaefer, brainnectome) to be options within the scout tab alongside the templated (e.g., DKT, brodmann, etc)?

I had previously added the brainnectome_leadDBS parcellation in the anatomy tab.

Thanks Raymundo!

Brian

In Brainstorm, the term Atlas is often used for two different things:

  • An anatomical atlas. These are volumes where each voxel has a label. This type of atlas are shown in the Anatomy view with this icon: iconAtlas

  • A collection of scouts. First, a scout is a set of vertices that were used to estimate sources. There are surface and volume scouts, since sources can be computed in surface or volume grids. Thus there are surface and volume Atlases. More details in the head model tutorial (below). Scout and These are save inside surface files. Even if source space is a volume grid, there is not a one-to-one equivalence between a voxel (anatomy volume) and a vertex (volume grid).
    https://neuroimage.usc.edu/brainstorm/Tutorials/HeadModel

This is an anatomical atlas. So, when you try to import it as an surface Atlas (made of surface scouts), the surface vertex are converted to MNI coordinates, and the label is search in the anatomical atlas. As you saw this does not always give good results. You could try to do it directly in the Scout tab as Atlas > Load atlas... and select the anatomical atlas .nii file as Volume mask or atlas.

These are computed when doing MRI segmentation. So it depends on which software was used.
Cortical segmentation (e.g. *.annot files from FreeSurfer and CAT12) are sucessfully imported as they are defined in the extracted cortical surface, not in the MRI volume.
https://neuroimage.usc.edu/brainstorm/Tutorials/LabelFreeSurfer#Cortical_parcellations
https://neuroimage.usc.edu/brainstorm/Tutorials/SegCAT12#Cortical_parcellations

Ohhh! Okay, this was incredibly helpful. I see my error. Thanks Raymundo.

Follow-up re brainnetome atlas. I see in this post a few years ago (below), if we download and use FSAverage_2020 as a template, I now see multiple other scouts available (including brainnectome). these appear to be cortical and not volumetric. is this an appropriate approach?

Now I'm realizing that this approach just overrides the individual's MRI with the FSAverage MRI. I believe I need to map the brainnetome atlas onto the individual's MRI in free surfer, prior to brainstorm, and then when i upload anatomy to brainstorm, the brainnetome atlas should be available. right?

Yes, after that the .annot file for the brainnetome atlas will be automatically imported in Brainstorm>

This info in the Cortical parcellations section of the FreeSurfer tutorial. Check the example code, and the info from FreeSurfer function mri_surf2surf

Additional parcellations can be computed from FreeSurfer with mri_surf2surf (example):

this worked perfectly, thank you again Raymundo!

Hello Raymundo!

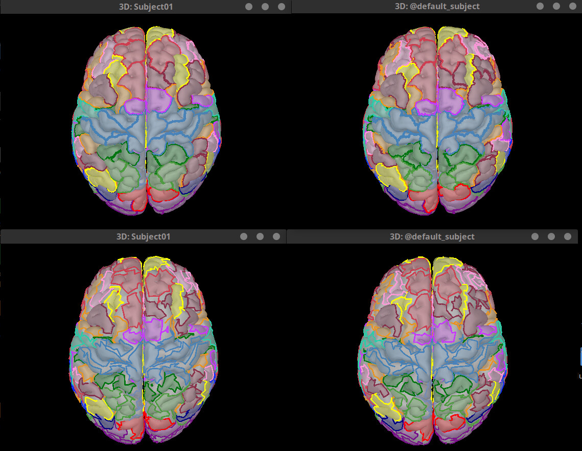
I am responding to this thread because I have a similar question. Instead of projecting an atlas from default space to subject space, I am wondering if it is acceptable to project from subject space to default space (i.e., the other direction). Specifically, our pipeline produced the Schaeffer parcellations for individual subjects, but not on the default anatomy. I tried following your steps to project one subject’s Schaeffer parcellation to the default. It looks reasonable, but I know that each individual’s Schaeffer parcellation contain small differences (see image below, where the top is the individual subject and bottom is default projection). Thus, the projection to default space would looks slightly different depending on which subject’s Schaeffer parcellation I used.

Is there another method to implement the Schaeffer atlas on the default anatomy, so that I can parcellate a group level stats map?

Which Defaul anatomy are you using?
The ICBM152 distributed with Brainstorm has the Schaeffer cortical (scout) atlases

Raymundo,

Thanks so much for the quick reply. I am using the ICBM152 default anatomy. I don’t have the Schaeffer atlas available. I noticed mine is slightly different than yours in that it doesn’t have the 2023b appended to the end. I do however notice this is present for the neuromaps folder, which I have only just started using.

In case it helps, I am using Brainstorm version 01-Nov-2024. We started a project around this time with multiple people doing preprocessing, so we kept this version to make sure everything is consistent.

Sorry Raymundo, I think I figured out the issue. For this specific project, the processing actually began prior to 2023. When I checked a newer project, the atlas list does indeed look like what you posted.

In this case, would it be possible to copy the Schaefer atlas from this newer project back to the older project?

Sorry for the confusion and thanks so much for your help.

Indeed, it seems you are using the ICBM152 template from 2019. While the MRI is the same (ICBM 2009c Nonlinear Asymmetric), the processing to obtain the cortical surfaces is different. For the 2019 version FreeSurfer 6 was used, and for 2022 and 2023 versions it was FreeSurfer 7.

More details in here:
https://neuroimage.usc.edu/brainstorm/Tutorials/DefaultAnatomy#FreeSurfer_templates

This means that the cortical surfaces are very similar but not exactly the same this can be seen by the different number of vertices in the high resolution surfaces.

The figures below show the 2019 cortical surface (306716 vertices) in blue, and 2023 cortical surface (319663 vertices) in red. The closeup shows how the surfaces do not share vertices.


With this said, the way to proceed can be to:

  1. Create a new Subject using the ICBM152 2023b template

  2. Open the high resolution cortex, and in the Scout tab create a copy of the Atlas you want to project. Menu Atlas > New atlas > Copy current atlas. You may want to rename this copied atlas to better identify it.

  3. Choose the copied atlas, select all the Scouts (with Ctrl+A) and project it to the high resolution cortical surface of the Default anatomy. Menu Scout > Project to > Default anatomy > cortex_xxxxV. This may take some minutes, as it has to find the scout label for each of the vertices.

  4. Finally, project the scouts from the Default anatomy high resolution cortex to the low resolution cortex. Note, that the vertices of the low resolution cortex are a subset of the vertices in the high resolution one.

The figure below shows the high and low resolution cortical surfaces (top and bottom rows) for the ICBM152 2023 (left column) and the projected atlases on the ICBM152 2019 (right column).

Raymundo,

Thank you so much for this walkthrough. I wasn’t able to get the ICBM152 2023b template by loading/creating a new Subject. However, I was able to get this through the neuromaps plugin. Basically, I loaded one annotation from neuromaps, which created the neuromaps folder in the anatomy tab on the protocol. Here, i was able to load the high-res Schaefer atlas, and follow the steps you outlined here. The final product closely resembles the low-res version you picture here. So, it appears that this method (using the neuromaps plug-in) works just as well, but let me know if there is reason to think otherwise.

Thank you for the help!